missing translation for 'onlineSavingsMsg'
Få mere at vide
Få mere at vide
Invitrogen™ Phospho-c-Kit (Tyr730) Polyclonal Antibody

Rabbit Polyclonal Antibody
Brand: Invitrogen™ 44496G
Denne vare kan ikke returneres.
Se returpolitik
Beskrivelse
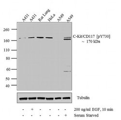
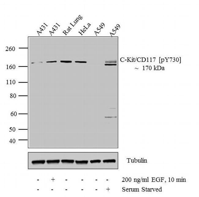
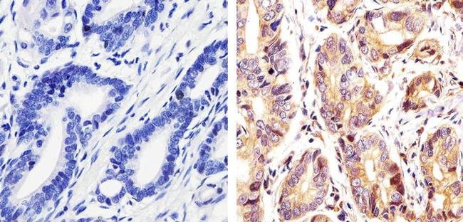
Phospho-c-Kit (Tyr730) Polyclonal Antibody for IHC (P), Western Blot
KIT (c-KIT) is a proto-oncogene and a type 3 transmembrane receptor for MGF (mast cell growth factor, also known as stem cell factor). KIT was first identified as the cellular homolog of the feline sarcoma viral oncogene v-kit. KIT together with its ligand regulates growth and activation of a variety of hemopoietic and non-hemopoietic cells. Mutations in KIT are associated with gastrointestinal stromal tumors, mast cell disease, acute myelogenous leukemia, and piebaldism. Recently, deregulation of the KIT receptor TK by the prevalent activation loop mutation D816V has served as a focal point in therapeutic strategies aimed at curbing neoplastic mast cell growth. c-Kit is expressed in hematopoietic stem cells, germ cells, mast cells and gastrointestinal tract cajal cells. Upon binding of its ligand stem cell factor (SCF), c-kit dimerizes, resulting in receptor activation and autophosphorylation of various tyrosine residues including tyrosine 703 located on the cytoplasmic domain of the receptor. This modification allows docking of Grb2 and activation of the Ras/ERK signaling pathway. SCF/c-kit can activate multiple downstream signaling pathways including PI3K, PLC-gamma and JAK/STAT. c-kit receptor activation is essential for hematopoiesis, stem cell maintenance and gametogenesis.
Tekniske data
| Phospho-c-Kit (Tyr730) | |
| Polyclonal | |
| Dulbecco's PBS with 1mg/mL BSA and 0.05% sodium azide; pH 7.3 | |
| O97799, P05532, P10721, P43481, Q08156 | |
| KIT | |
| The antiserum was produced against a chemically synthesized phosphopeptide derived from a region of human c-Kit that contains tyrosine 730. The sequence is conserved in mouse, rat and cow. | |
| 100 μL | |
| Primary | |
| Human, Mouse, Rat, Canine, Bovine, Chicken | |
| Antibody | |
| IgG |
| Immunohistochemistry (Paraffin), Western Blot | |
| Unconjugated | |
| KIT | |
| belly-spot; Bs; CD117; ckit; C-Kit; c-KIT gene1; c-kit protein; c-kit proto-oncogene protein; c-kit receptor; c-kit receptor tyrosine kinase; dominant spotting; Dominant white spotting; Fdc; Gsfsco1; Gsfsco5; Gsfsow3; KIT; kit oncogene; KIT proto-oncogene receptor tyrosine kinase; KIT proto-oncogene, receptor tyrosine kinase; mast cell growth factor receptor; mast/stem cell growth factor receptor; mast/stem cell growth factor receptor Kit; MGF; p145 c-kit; PBT; Piebald trait protein; protein kinase; proto-oncogene c-Kit; proto-oncogene tyrosine-protein kinase Kit; receptor tyrosine kinase c-kit; receptor tyrosine kinase type III; SCFR; SCO1; SCO5; Sl; soluble KIT variant 1; SOW3; spotted sterile male; Ssm; Steel Factor Receptor; Tr-kit; tyrosine kinase receptor; tyrosine kinase receptor c-KIT; tyrosine-protein kinase Kit; v-kit Hardy-Zuckerman 4 feline sarcoma viral oncogene homolog; v-kit Hardy-Zuckerman 4 feline sarcoma viral oncogene-like protein; W | |
| Rabbit | |
| Antigen affinity chromatography | |
| RUO | |
| 16590, 280832, 378783, 3815, 403811, 64030 | |
| -20°C | |
| Liquid |
Korrektion af produktindhold
Dit input er vigtigt for os. Udfyld denne formular for at give feedback relateret til indholdet på dette produkt.
Produkttitel
Ser du en mulighed for forbedring?Del en indholdskorrektion